logo

Артериовенозные мальформации (АВМ): персонифицированное лечение сосудистых мальформаций головного мозга

Артериовенозные мальформации (АВМ) — сложные сосудистые мальформации, которые часто обнаруживаются случайно при обследовании заболеваний центральной нервной системы (ЦНС). Основная проблема — риск спонтанного кровоизлияния в мозг. Здесь вы можете узнать все о причинах, факторах риска и доступных современных вариантах лечения.

Цель: полное устранение артериовенозной мальформации. Это единственный способ избежать дальнейшего риска кровотечения. Точный, современный, эффективный и безопасный вариант лечения — это терапия CyberKnife или ZAP-X — обе процедуры мы предлагаем в ERCM.

Вас интересуют варианты лечения лечение? Наша команда экспертов подробно обсудит с Вами оптимальный для Вас подход к терапии.

Если вам поставлен диагноз артериовенозной мальформации (АВМ), крайне важно обратиться к междисциплинарной команде опытных специалистов, включающей нейрохирургов, нейрорадиологов, радиотерапевтов и неврологов. Такие команды обладают глубокой экспертизой в лечении АВМ и разрабатывают индивидуальные терапевтические стратегии, основанные на особенностях конкретного клинического случая [1].

Выбор метода лечения должен быть тщательно продуман и персонализирован. В ряде случаев наилучшего результата можно добиться, комбинируя различные терапевтические подходы.

Среди возможных вариантов — современное неинвазивное роботизированное лечение с использованием технологий CyberKnife или ZAP-X. Эти инновационные методы позволяют точечно воздействовать на сосудистые мальформации, эффективно устраняя их и при этом максимально сохраняя окружающие здоровые ткани.


Точность – наше призвание

Здесь, в ERCM, мы уже вылечили сотни пациентов с мальформацией атриовентрикулярного клапана, во многих случаях в междисциплинарном формате, совместно с нашими коллегами в области нейрохирургии и нейрорадиологии. Например, отдельные случаи пациентов подробно и индивидуально обсуждаются на нашей еженедельной конференции (Нейроваскулярный совет) с Центром инсульта больницы Гроссхадерн Мюнхенского университета (LMU).

question icon Определение: Что такое артериовенозные мальформации?

Артериовенозные мальформации — это аномальные сосудистые мальформации, которые обычно являются врожденными и могут возникать во всех областях мозга. Они состоят из nidus (лат. гнездо) – своеобразного сосудистого клубка – питающих сосудов (артерий) и дренирующих сосудов (вен). Однако в этом сплетении сосудов отсутствует промежуточная сеть мелких капилляров, поэтому артерии, словно короткое замыкание, напрямую вливаются в вены.

По этой причине, помимо прочего, увеличивается приток крови, что в свою очередь приводит к высокому совокупному риску кровоизлияния в мозг [1]. Другие факторы, которые играют роль, включают возраст пациента, предыдущие кровотечения и гормональные факторы, особенно у женщин.

Частота этого заболевания составляет 10–18 случаев на 100 000 жителей [1]. Симптомы обычно появляются в возрасте от 20 до 50 лет [2]. Например, примерно у трети всех заболевших людей развиваются эпилептические припадки [1].

В принципе, различают симптоматические и бессимптомные артериовенозные мальформации. Существуют формы заболевания, которые вызывают такие симптомы, как головные боли, судорожные расстройства, неврологические нарушения или которые уже привели к кровоизлиянию в мозг. Однако существуют и бессимптомные формы, которые не вызывают неврологических нарушений и еще не кровоточат.

Общие симптомы

Распространены головные боли, эпилептические припадки и паралич. В зависимости от локализации артериовенозных мальформаций могут также наблюдаться нарушения речи и памяти. Редко встречается шум в ушах, синхронный с пульсом [1].

Наиболее распространенным симптомом, встречающимся более чем в 50% случаев, является кровоизлияние в мозг, называемое внутримозговым кровоизлиянием. В более крупных исследованиях риск оценивается как вероятность кровотечения около 1–2% в год. В случаях крупных сосудистых мальформаций, которые уже кровоточили, вероятность кровотечения выше.

warning icon Причины и факторы риска

Артериовенозные мальформации обычно считаются врожденным заболеванием. Они также являются наиболее распространенной причиной геморрагических инсультов у детей и молодых людей [3].

Диагностические процедуры

Визуализационная диагностика позволяет более точно классифицировать артериовенозную мальформацию на основе ее размера, местоположения и гемодинамики — динамики кровотока в сосудах (классификация Спецлера-Мартина). Данная медицинская классификация описывает степень сосудистых мальформаций, выделяя в общей сложности 5 степеней тяжести. Конкретное планирование терапии и персонифицированные варианты лечения, которые мы подробно обсудим с вами, зависят от индивидуальной степени тяжести заболевания.

Часто для первичной диагностики достаточно компьютерной томографии с КТ-ангиографией (КТА) [1]. КТ-ангиография позволяет очень хорошо определить сосудистый клубок – очаг.

Цифровая субтракционная ангиография (ЦСА) также обеспечивает дополнительную визуализацию сосудистой архитектуры и динамики кровотока.

Магнитно-резонансная томография (МРТ) используется для точной локализационной диагностики патологического сосудистого клубка – здесь основное внимание уделяется взаимосвязи с функционально особо значимыми областями мозга. Поэтому МРТ является основным требованием для точного планирования лечения [1].

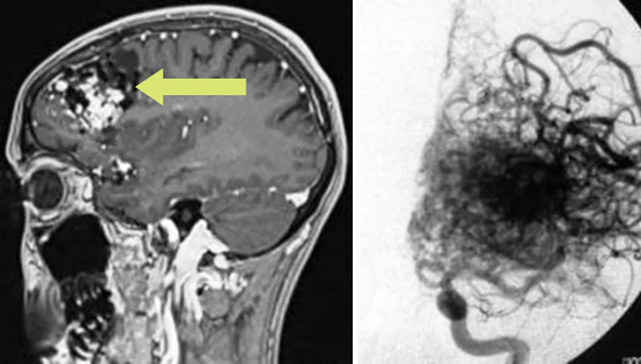
Левый: МРТ-изображение лобной артериовенозной мальформации.

Верно: Точное представление цифровой субтракционной

Какие существуют варианты лечения?

Выбор метода лечения артериовенозной мальформации (АВМ) зависит от множества факторов — в первую очередь, от клинических симптомов, результатов визуализирующих исследований, а также оценки риска симптоматического кровоизлияния в мозг. Особое внимание уделяется потенциальным рискам, связанным с теми или иными вариантами терапии [1].

Именно поэтому тесное междисциплинарное сотрудничество всех участвующих специалистов — нейрохирургов, нейрорадиологов, радиотерапевтов и неврологов — является ключевым условием для выбора наилучшей стратегии и успешного лечения сосудистых мальформаций.

Эндоваскулярная эмболизация

Представляет собой метод лечения, при котором сосудистая мальформация частично или полностью закрывается с помощью медицинского клея, микрочастиц или тончайших спиралей. Введение материала осуществляется через катетер, обычно через бедренную артерию в паховой области, с последующим продвижением к поражённому сосудистому участку.

Микрохирургическое удаление (резекция)

Инвазивная операция, при которой сосудистая мальформация полностью удаляется. При этом питающие и дренирующие сосуды закрываются избирательно, с максимально возможным сохранением окружающих здоровых сосудов головного мозга.

Роботизированная терапия CyberKnife и ZAP-X: высокая точность для полной безопасности

Роботизированная неинвазивная высокоточная терапия с применением установок CyberKnife или ZAP-Xпредставляет собой современный и эффективный вариант лечения артериовенозных мальформаций — особенно в случаях, когда поражения расположены в труднодоступных участках головного мозга [1, 4].

Этот метод может использоваться как самостоятельный, так и в сочетании с эндоваскулярной эмболизацией — особенно в тех случаях, когда:

  • АВМ не подходит для открытого хирургического вмешательства,
  • эмболизация невозможна как основной метод,
  • или после эмболизации достигнуто лишь частичное закрытие сосудистого образования [5].

Во время роботизированного радиохирургического лечения с использованием CyberKnife или ZAP-X пучки фотонов направляются с исключительной точностью в центр сосудистой мальформации. Это вызывает постепенное закрытие патологически изменённых сосудов, сохраняя при этом нормальный кровоток в окружающих участках мозга.

Эффективное лечение артериовенозных мальформаций (АВМ) с помощью радиохирургии

В этом видео директор ERCM профессор, доктор медицинских наук Александр Муачевич разработал метод, который характеризуется высокой точностью, низкими побочными эффектами и неинвазивностью процедуры, что приводит к значительному снижению осложнений и быстрому выздоровлению пациента.

Запросы на лечение

Для нас важно, чтобы вы, как пациент, хорошо понимали все аспекты своего заболевания и индивидуальные варианты лечения. По вопросам лечения, пожалуйста, воспользуйтесь контактной формой. Вы также можете связаться с нами по телефону в часы работы или через наши каналы в социальных сетях.

Ваш запрос будет обработан конфиденциально и в кратчайшие сроки.

Часто задаваемые вопросы

Артериовенозная мальформация не является опухолью в прямом смысле этого слова. В то время как опухоли состоят из клеток, которые размножаются неконтролируемо, артериовенозные мальформации представляют собой сосудистые аномалии, то есть они состоят из врожденно-аномальных кровеносных сосудов.

Артериовенозная мальформация — это короткое патологическое соеденение между мелкими артериями и венами сосудов головного мозга. Аневризма — это выпячивание кровеносного сосуда в месте разветвления, которое также может привести к кровоизлиянию в мозг.

Опасность сосудистых мальформаций заключается в кровоизлиянии в мозг, которое может возникнуть как в крупных, так и в мелких пораженных сосудах. В зависимости от степени и места кровотечения могут возникнуть только головные боли или серьезные неврологические симптомы.

Артериовенозные мальформации не являются злокачественными, поскольку не содержат раковых клеток. Однако они являются патологией и могут быть опасны, поскольку могут вызвать кровоизлияние в мозг. При таких сосудистых мальформациях всегда существует риск кровотечения и неврологических симптомов, но не злокачественного новообразования.

Артериовенозная мальформация может разорваться, если давление в кровеносных сосудах станет слишком высоким, но это случается редко. Сосудистые мальформации обычно протекают бессимптомно или имеют лишь незначительные симптомы. Большинство людей, страдающих этим заболеванием, живут с ним, не испытывая кровотечения.

В принципе, это возможно при очень небольших сосудистых мальформациях, но встречается крайне редко.

Да, подобные сосудистые мальформации встречаются и в других частях тела, например: Б. в спинном мозге. В принципе, артериовенозные мальформации могут возникнуть в любой части тела, где наблюдается плотный кровоток.

[1] Попперт, Х. и др., Пороки развития сосудов головного мозга. Руководство S1 2023 г., в: Немецкое общество неврологии; Ред. Руководство по диагностике и терапии в неврологии.
https://register.awmf.org/de/leitlinien/detail/030-088

2] Динер Х.К., Стейнмец Х., Каструп О., Шталь Б., Штайгер А. и др., Справочник по неврологии, печатный ISBN: 9783132413870; Georg Thieme Verlag KG, Штутгарт 2019. Нгстрет-младший, В. Т., Вебер, Ф., И-Чунг, Л. и др., Случайные результаты магнитно-резонансной томографии мозга: систематический обзор и метаанализ. BMJ 2009;339:b3016
https://eref.thieme.de/ebooks/cs_9846568#/ebook_cs_9846568_cs9583

[3] Тасиу, А., Церефос, К., Аллейн-младший, К.Х., Боккарди, Э., Карлссон, Б. и др., Артериовенозные мальформации: врожденные или приобретенные поражения? Мировая нейрохирургия 2020;134:e799-e807.
https://www.sciencedirect.com/science/article/abs/pii/S1878875019328360?via%3Dihub

[4] Греве, Т., Эрет, Ф., Хофманн, Т., Торстейнсдоттир, Дж., Дорн, Ф. и др., Роботизированная радиохирургия артериовенозных мальформаций на основе магнитно-резонансной томографии. Передний. Онкол. 2021;Том 10:608750.
https://www.frontiersin.org/journals/oncology/articles/10.3389/fonc.2020.608750/full

[5] Штайнер, Л., Линдквист, К., Кейл, В., Карлссон, Б., Штайнер, М., Микрохирургия и радиохирургия при артериовенозных мальформациях головного мозга. Журнал нейрохирургии 1993;79:647-652
https://thejns.org/view/journals/j-neurosurg/79/5/article-p647.xml